HIFA es la unidad vegetativa en la estructura de los hongos.
Su forma es filamentosa y de tipo tubular con paredes celulares, pudiendo presentar tabiques (hifas septadas) o no (hifas aseptadas) y que contienen en su interior citoplasma que viene a ser una sustancia similar a la clara de huevo junto con pequeñas estructuras con morfologías y funciones determinadas denominadas organoides.

. El conjunto de hifas forman un entretejido que constituye el micelio (hongo) y sus frutos son las setas

• La estructura del hongo está soportado a veces por hifas de tipos esqueléticas y envolventes, sin embargo otras hifas no tienen tabiques y se hinchan. Se las denomina esferocistos, y suelen estar presentes en los géneros Coprinus, Amanita, Cystoderma, Russula o Lactarius.
• Cuando los esferocistos están presentes en la trama se la denomina Trama heterómera y cuando están ausentes Trama homómera
Por otra parte existen unas hifas terminales ampulosas que se denominan de forma diferente en función de donde estén situadas. En el himenio (órgano donde se generan las esporas) , pueden dar lugar a la formación de basidios, cistidios, cistidiolos, etc. y en otras partes del cuerpo fructífero pueden o no estar formadas por terminaciones esféricas cubriéndolas, por ejemplo, la estipitipellis (cutícula del pie) o la pileipellis (cutícula del sombrero).



. GENERATIVAS: Producen estructuras fértiles y con paredes delgadas, septadas (con septos o paredes transversales) y con fíbulas presentes o ausentes.
. ESQUELÉTICAS: Aseptadas (sin septos o paredes transversales), no ramificadas, con paredes gruesa, hialinas o coloreadas.
. ENVOLVENTES: Aseptadas, con paredes gruesas, ramificadas y extremos terminados en punta (acuminados).

El método más clásico de diferenciación de las hifas en los Basidiomicetos es el iniciado por CORNER(1932) y más tarde por TALBOT(1954), en el que se pueden diferenciar tres sistemas fundamentales:
• SISTEMA MONOMÍTICO, formado fundamentalmente por hifas generativas, caracterizadas por estar siempre presentes y responsables de originar las estructuras fértiles. Con la siguiente morfología: paredes delgadas, bastante ramificadas, generalmente septadas, donde pueden estar presentes o no las fíbulas.
• SISTEMA DIMÍTICO, formado por hifas generativas y esqueléticas, o por generativas y envolventes. Las hifas esqueléticas de paredes gruesas, aseptadas, no ramificadas, hialinas o coloreadas. Las hifas envolventes, aseptadas, paredes gruesas, ramificadas y con sus extremos acuminados (acabados en punta).
• SISTEMA TRIMÍTICO, formado por los tres tipos de hifas, generativas, esqueléticas y envolventes
FAYOD(1889) y SINGER(1975), proponen otro sistema de clasificación menos usado que es el siguiente:
• TEJIDO FUNDAMENTAL, formado por hifas esqueléticas y envolventes, con esferocistos de paredes finas o gruesas e hifas multiseptadas de gruesas paredes.
• TEJIDO CONECTIVO, con hifas de paredes delgadas donde las generativas son las que predominan.
• TEJIDO CONDUCTOR, formado por hifas laticíferas, oleíferas, etc., que se encargan de transportar las sustancias metabólicas que se pueden secretar o excretar.

Las paredes de las hifas pueden ser finas o gruesas y pueden estar ornamentados debido a: incrustaciones de otros materiales, espirales, agujas, granulaciones, etc...
Las hifas pueden estar septadas o no, y se pueden regenerar los septos rotos. Si es por incorporación de una pared nueva de material (septo por división) o si es por crecimiento de la pared rota (pseudosepto).

El tejido conectivo suele tener hifas ramificadas, largas y septadas mientras que el tejido fundamental no suele estar ramificado. Las ramas largas suelen ser difíciles de ver y fáciles de ver las cortas.
Fundamental es la presencia o no de fíbulas (A, B, C) y esta característica ha servido para identificar determinados géneros. A veces estas fíbulas son muy marcadas tomando formas características, fíbulas de medallón (D) o aparentan formar estas conexiones, pseudofíbulas (E).

FÍBULAS: abultamientos o bóvedas en algunos septos donde dos células se juntan, no están presentes en todas las setas; la pileipellis (capa superficial del sombrero) es un buen sitio donde localizarlas; algunas veces se encuentran en la base de los basidios.
Fíbulas presentes en los siguientes géneros de setas:
Baeospora, Chlorophyllum, Cortinarius, Crinipellis, Cystoderma, Entoloma, Gymnopilus, Inocybe, Laccaria, Lentinus, Leucopaxillus, Limacella, Lyophyllum, Macrolepiota, Marasmiellus, Micromphale , Omphalotus, Oudemansiella, Panellus, Paxillus, Pholiota, Pleurotus, Psilocybe, Rhodotus, Ripartites, Stropharia, Tricholomopsis, Tubaria, Xeromphalina.
Fíbulas ausentes o raras en:
Armillaria, Chroogomphus, Cystogomphus, Gomphidius, Lactarius, Floccularia, Melanoleuca, Omphalina, Phylloporus, Russula, Strobilurus, Trichopilus,Volvariella.

SMITH (1966) establece una clasificación de las hifas de acuerdo a que tengan látex o no. Así puede establecerse:
• HIFAS LATICÍFERAS, cuando contienen látex, típicas del género Cortinarius.
• HIFAS OLEÍFERAS, cuando no tienen látex pero su componente es resinoso u oleoso, existiendo dos clases: las que reaccionan con sulfovainillina (Russula emética) y las que no reaccionan (Amanita vaginata) y que parece relacionarse con el sabor acre de los basidiocarpos.
• GLEOHIFIDIOS DE LA TRAMA DEL HIMENÓFORO, elementos en forma de huso que aparecen en la trama y que conectan con los gleocistidios del himenio. Las hifas son contorneadas y se colorean de azul con reactivos ácido-aldehidos.
• COSCINOIDES, estructuras muy pigmentadas destinadas a la conducción, muy porosas tanto en la superficie de las hifas como en los septos.
• CRISOHIFÍDIOS, hifas similares a las oleíferas y gleohifídios, con gránulos o sustancias resinosas que se colorean de amarillo con solución alcalina
• QUEILOCATENULADAS, son hifas pluricelulares que se proyectan en la arista de lámina y sus células toman formas isodiamétricas y en forma de eslabones de cadena.
• HIFAS CISTIDIFORMES, similares a las anteriores excepto que la unidad que integra el cistidio no está tabicada.
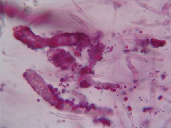
Foto microscopio de hifas laticíferas e hifas oleíferas

Es importante delimitar la forma y situación de la pigmentación hifal y podemos clasificar estos pigmentos de acuerdo a su distribución de la forma siguiente:
• PIGMENTOS CITOPLASMÁTICOS, se encuentran en el citoplasma y dan coloraciones hifales uniformes
• PIGMENTOS VACUOLARES, en el interior celular de las vacuolas, las cuales se agrupan hacia al centro.
• PIGMENTOS INTRAPARIETALES, se sitúan en la cara interna de la pared o en la membrana a modo de anillos, bandas concéntricas, espirales o irregularmente.
• PIGMENTOS EPIPARIETALES, parecida morfología a los anteriores, se sitúan en la cara exterior de la pared celular. Han de observarse montados en agua, en soluciones alcalinas normalmente se pierden.
• PIGMENTOS INTERCELULARES, situados alrededor de las hifas y entre las hifas y los cordones miceliales.
• NECROPIGMENTOS, aparecen en las hifas del cuerpo fructífero del género Callistoporium, con la desecación a modo de inclusiones oscuras en las hifas de la trama.

• G.Moreno, J.L.Gª Manjón, A.Zugaza, La guía de INCAFO de los hongos de la Península Ibérica, 1986.
• D.Largent,D.Johnson,R.Watling. HOW TO IDENTIFY MUSHROOMS TO GENUS III: Microscopic Features, 1977.
• López-Llorca, Utiel-Alfaro, J.C., Honrubia, M., Hongos de Alicante, 1992.
• Breitenbach,J.,Kränzlin,F., Champignons de Suisse.Tome 2. Champignons sans lames 1986
• Basso M.T., Manuale di microscopia dei funghi 2005.
• Brunori A., A. Buischio & A. Cassinis. Introduzione allo studio dei fungi. 1985
• Fotografía microscópica : Nino Santamaría, http://ninosantamaria.iespana.es/
Click para Remitir Comentarios
Muchas Gracias!
eTiquetarOja & Micosapiens